iymagazine.es

Investigación MIT

Nuevo algoritmo de IA permite rastrear vías vitales de materia blanca en el cerebro
Ampliar

Nuevo algoritmo de IA permite rastrear vías vitales de materia blanca en el cerebro

Por Álvaro Gómez Tornero
x
alvarogomeztornerogmailcom/18/18/24
miércoles 11 de febrero de 2026, 09:40h
Actualizado el: 11 de febrero de 2026, 12:59h

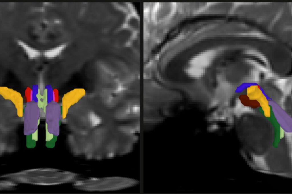
Un nuevo algoritmo de inteligencia artificial permite segmentar con precisión los haces de materia blanca en el tronco encefálico mediante resonancia magnética, facilitando la detección de lesiones y enfermedades neurológicas.

Un nuevo avance en la investigación neurológica ha sido presentado por un equipo de científicos del MIT, la Universidad de Harvard y el Hospital General de Massachusetts. Este grupo ha desarrollado un software impulsado por inteligencia artificial que permite segmentar automáticamente ocho haces distintos en cualquier secuencia de resonancia magnética por difusión (MRI), lo que representa un paso significativo hacia la comprensión de las estructuras críticas del cerebro.

El estudio, publicado en los Proceedings of the National Academy of Sciences, revela cómo el BrainStem Bundle Tool (BSBT), herramienta que han hecho disponible públicamente, ha permitido identificar cambios estructurales en pacientes con enfermedades como el **Parkinson**, la **esclerosis múltiple** y lesiones cerebrales traumáticas. Además, se ha utilizado para rastrear la recuperación de un paciente en coma a lo largo de siete meses, mostrando su potencial para evaluar el proceso de curación.

Nuevas perspectivas sobre el tronco encefálico

El tronco encefálico es una región del cerebro fundamental para funciones esenciales como la conciencia, la respiración y el control del ritmo cardíaco. Sin embargo, hasta ahora, los sistemas de imagen no habían logrado resolver con precisión estos haces neuronales críticos. Según Mark Olchanyi, estudiante de doctorado en el programa de Ingeniería Médica y Física Médica del MIT, “el tronco encefálico es una zona prácticamente inexplorada debido a las dificultades para obtener imágenes claras”. Esto resalta la necesidad urgente de comprender cómo se organiza la materia blanca en los humanos y cómo esta organización se ve afectada por diversas patologías.

Emery N. Brown, profesor y supervisor de tesis de Olchanyi, añade que “el tronco encefálico es uno de los centros de control más importantes del cuerpo”. La capacidad mejorada para imaginar esta área proporciona acceso a funciones fisiológicas vitales, incluyendo el control del sistema respiratorio y cardiovascular.

Desarrollo del algoritmo innovador

La resonancia magnética por difusión permite trazar las largas ramas o "axones" que los neuronas utilizan para comunicarse. Estos axones están recubiertos por una vaina grasa llamada mielina, lo que complica aún más su visualización debido a su pequeño tamaño y a las interferencias causadas por fluidos cerebrales y movimientos corporales. Para superar estos obstáculos, Olchanyi desarrolló BSBT, que crea un “mapa probabilístico” al trazar los haces desde áreas adyacentes del cerebro hacia el tronco encefálico.

A través del entrenamiento del algoritmo utilizando 30 escaneos en vivo del proyecto Human Connectome Project (HCP), Olchanyi logró capacitar a una red neuronal convolucional para identificar correctamente estos haces. Las pruebas realizadas demostraron que BSBT podía reconocer consistentemente los mismos haces en escaneos separados realizados con dos meses de diferencia.

Identificación de biomarcadores novedosos

Una vez validado, el equipo investigó si la segmentación precisa podría permitir el seguimiento de variaciones en volumen y estructura asociadas a enfermedades o lesiones. A pesar de las dificultades históricas para examinar el tronco encefálico, muchos estudios indican que las enfermedades neurodegenerativas afectan esta región tempranamente en su progresión.

Los investigadores aplicaron BSBT a numerosos conjuntos de datos provenientes de pacientes con Alzheimer, Parkinson, esclerosis múltiple y lesiones cerebrales traumáticas. El análisis reveló patrones consistentes: mientras solo un haz mostró un declive significativo en Alzheimer, tres mostraron reducciones en Parkinson. En esclerosis múltiple se observaron pérdidas notables en varios haces.

En conclusión, BSBT no solo mejora las capacidades actuales de diagnóstico por imagen sino que también ofrece información longitudinal valiosa sobre la estructura de la materia blanca en el tronco encefálico. Este avance promete ser un aliado clave en la evaluación clínica y pronósticos relacionados con trastornos neurológicos.

Valora esta noticia
0
(0 votos)
¿Te ha parecido interesante esta noticia?    Si (0)    No(0)

+
0 comentarios