iymagazine.es

Investigación Sevilla

Nuevas claves sobre la agresividad del neuroblastoma infantil descubiertas por el IBiS
Ampliar

Nuevas claves sobre la agresividad del neuroblastoma infantil descubiertas por el IBiS

Por José Enrique González
x
jenriqueiymagazinees/8/8/19
domingo 22 de febrero de 2026, 14:00h

Un estudio del IBiS revela que ciertas proteínas son clave en la agresividad del neuroblastoma infantil, lo que abre posibilidades para tratamientos más personalizados y efectivos.

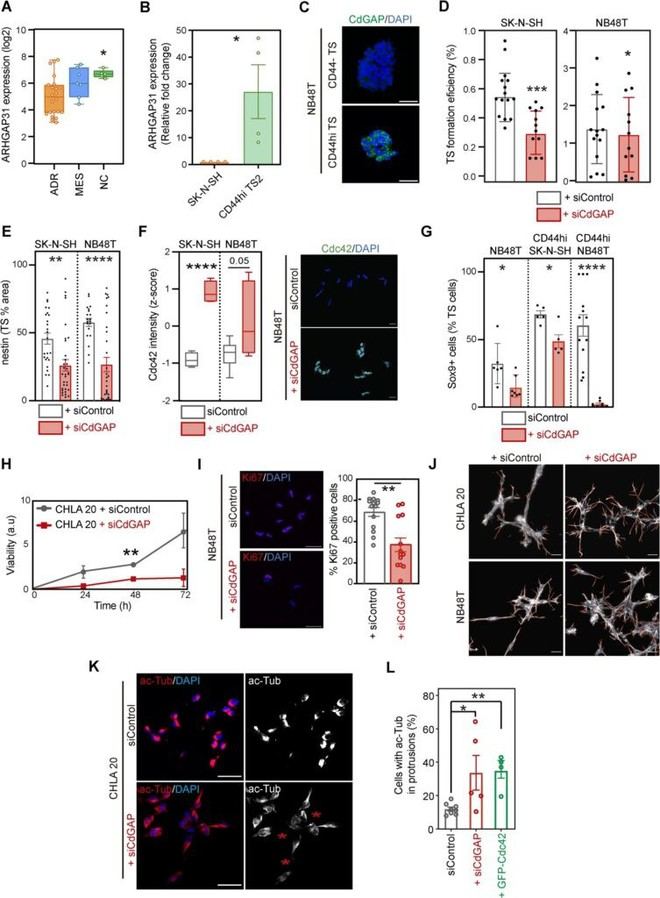
Un estudio internacional liderado por los doctores Francisco M. Vega y Ricardo Pardal, del grupo IBiS de «Fisiopatología de células madre neurales», junto con María A. Gómez-Muñoz como primera autora, ha revelado nuevas claves sobre la agresividad del neuroblastoma, uno de los cánceres infantiles más comunes. La investigación, publicada en la revista Cell Communication and Signaling, identifica un grupo de proteínas que desempeñan un papel crucial en el comportamiento de estos tumores, lo que abre la puerta a tratamientos más personalizados.

El neuroblastoma es el tumor sólido más frecuente fuera del cerebro en niños y representa aproximadamente el 15 % de las muertes por cáncer infantil. Este tipo de cáncer se caracteriza por su comportamiento variable: mientras que en algunos casos el tumor puede desaparecer sin intervención médica, en otros avanza rápidamente y resulta difícil de controlar.

Nuevas perspectivas en el tratamiento del neuroblastoma

La investigación se centró en una familia de proteínas conocidas como Rho GTPasas, que regulan funciones celulares esenciales, incluyendo la forma, movilidad y maduración celular. La maduración es un factor crítico, ya que las células menos maduras tienden a ser más agresivas y peligrosas.

Uno de los hallazgos más significativos del estudio es el papel de una proteína llamada Cdc42, que actúa como un “freno natural” para el tumor. Cuando los niveles de Cdc42 son bajos, las células del neuroblastoma permanecen inmaduras y agresivas; sin embargo, cuando esta proteína está activa, las células comienzan a madurar y el tumor se vuelve menos maligno.

Los investigadores también identificaron otra proteína, denominada ARHGAP31 o CdGAP, que se encuentra en niveles elevados en las células tumorales más inmaduras. Esta proteína disminuye la actividad de Cdc42, lo que perpetúa el estado agresivo de las células.

Estrategias terapéuticas basadas en la investigación

A través del estudio se ha desarrollado una nueva “firma molecular” basada en estas proteínas, que podría ser útil para predecir la evolución de la enfermedad en cada paciente. Esto facilitaría a los médicos adaptar los tratamientos a cada niño, aumentando así las probabilidades de éxito.

En conjunto, los resultados sugieren que estimular la maduración celular mediante el control de estas proteínas podría convertirse en una nueva estrategia terapéutica, especialmente para aquellos casos más resistentes a los tratamientos actuales.

Este trabajo ha contado con el apoyo de la Asociación Niños Enfermos de Neuroblastoma (NEN).

Valora esta noticia
0
(0 votos)
¿Te ha parecido interesante esta noticia?    Si (0)    No(0)

+
0 comentarios