iymagazine.es

Investigación neural

La actividad neural optimiza las conexiones sinápticas en el cerebro de las moscas
Ampliar

La actividad neural optimiza las conexiones sinápticas en el cerebro de las moscas

Por José Enrique González
x
jenriqueiymagazinees/8/8/19
miércoles 22 de octubre de 2025, 14:35h

Investigadores del MIT han descubierto cómo las conexiones neuronales en moscas de la fruta se desarrollan para transmitir señales adecuadamente, lo que podría ayudar a tratar trastornos como la epilepsia y el autismo.

Las funciones del sistema nervioso, que abarcan desde el movimiento hasta la percepción y la cognición, dependen de las zonas activas de las conexiones neuronales, conocidas como “sinapsis”. Estas sinapsis deben enviar la cantidad adecuada de señales químicas en el momento preciso. Investigadores del Picower Institute for Learning and Memory del MIT han realizado un estudio que revela un modelo fundamental sobre cómo la actividad neuronal durante el desarrollo permite construir conexiones funcionales adecuadamente.

El entendimiento de este proceso es crucial no solo para avanzar en el conocimiento básico sobre el desarrollo de los sistemas nerviosos, sino también porque diversas enfermedades como la epilepsia, el autismo o discapacidades intelectuales pueden surgir de anomalías en la transmisión sináptica. Así lo afirma Troy Littleton, profesor en el Picower Institute y en el Departamento de Biología del MIT. Los nuevos hallazgos, financiados parcialmente por una subvención del National Institutes of Health, ofrecen perspectivas sobre cómo las zonas activas desarrollan su capacidad para enviar neurotransmisores a sus objetivos dentro del circuito.

Desarrollo de Sinapsis: Un Proceso Complejo

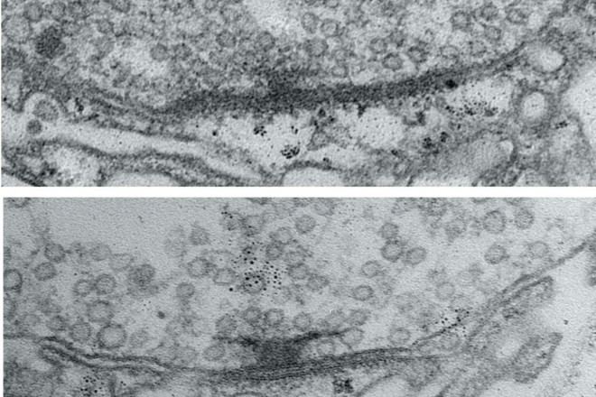
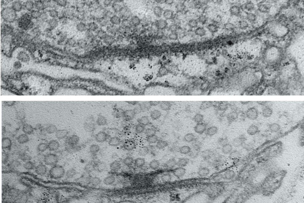
En esta investigación, se examinaron neuronas que envían el neurotransmisor glutamato a través de sinapsis para controlar los músculos en larvas de mosca. Para estudiar cómo maduran las zonas activas en estos animales, los científicos necesitaban seguir su edad, algo que no había sido posible anteriormente. Akbergenova superó este obstáculo ingeniosamente al incorporar una proteína fluorescente llamada mMaple, que cambia su brillo de verde a rojo al ser expuesta a luz ultravioleta durante 15 segundos, dentro de los receptores de glutamato en el lado receptor de la sinapsis. De esta manera, podía iluminar las sinapsis ya formadas antes de ese momento, haciéndolas brillar en rojo, mientras que las nuevas formarían un brillo verde.

Con esta técnica, los autores pudieron documentar cómo las zonas activas desarrollaron su capacidad para aumentar la salida a lo largo de varios días tras su formación. Observaron cómo se construían sinapsis durante horas al etiquetar cada uno de los ocho tipos de proteínas que componen una zona activa. Inicialmente, estas zonas no podían transmitir nada; luego, con la acumulación de algunas proteínas esenciales tempranas, podían liberar glutamato espontáneamente, aunque no cuando eran estimuladas eléctricamente. Solo después de que llegaron más proteínas lograron poseer la estructura madura necesaria para que los iones de calcio desencadenaran la fusión de vesículas de glutamato con la membrana celular.

La Importancia de la Actividad Neuronal

No obstante, la construcción no es un proceso interminable. En algún momento, la larva deja de construir una sinapsis y comienza a crear nuevas más adelante a medida que el axón neuronal se expande para adaptarse al crecimiento muscular. Los investigadores se preguntaron si la actividad neuronal desempeñaba un papel en este proceso. Para averiguarlo, utilizaron dos intervenciones diferentes para bloquear las zonas activas e impedirles liberar glutamato.

Una de estas intervenciones consistió en bloquear la acción de una proteína llamada Synaptotagmin 1, cuya mutación está asociada con discapacidades intelectuales severas y autismo en humanos. Además, adaptaron las intervenciones para afectar solo a una neurona por larva; bloquear todas habría resultado letal. Al hacerlo, observaron dos consecuencias: las neuronas dejaron de construir nuevas zonas activas y optaron por hacer más grandes las existentes. Era como si la neurona intentara compensar la falta de liberación del glutamato aumentando los recursos disponibles para esas zonas.

Nuevos Horizontes en Investigación Neuronal

Littleton señala que este esfuerzo vino a costa del inicio de nuevas construcciones. Las zonas activas ampliadas resultantes eran funcionales (o lo habrían sido si no se hubiera bloqueado artificialmente su actividad), sugiriendo que la neurona percibía que el glutamato no estaba siendo liberado gracias a una señal retroalimentada desde el músculo asociado con la sinapsis. Para comprobar esto, los científicos eliminaron un componente receptor del glutamato en el músculo y descubrieron que las neuronas ya no aumentaban sus zonas activas.

El laboratorio ya investiga nuevas preguntas planteadas por estos descubrimientos: ¿Cuáles son las vías moleculares que inician primero la formación sináptica? ¿Qué señales indican a una zona activa que ha terminado su crecimiento? Encontrar respuestas acercará a los investigadores al entendimiento necesario para intervenir cuando estas zonas activas no se desarrollen correctamente.

Aparte de Littleton y Akbergenova, otros autores del estudio incluyen a Jessica Matthias y Sofya Makeyeva. La investigación recibió financiamiento adicional por parte de The Freedom Together Foundation.

Valora esta noticia
0
(0 votos)
¿Te ha parecido interesante esta noticia?    Si (0)    No(0)

+
0 comentarios