iymagazine.es

Investigación cerebral

Desarrollan un atlas cerebral de alta resolución para mejorar diagnósticos neurológicos
Ampliar

Desarrollan un atlas cerebral de alta resolución para mejorar diagnósticos neurológicos

Por José Enrique González
x
jenriqueiymagazinees/8/8/19
lunes 23 de marzo de 2026, 10:57h
Actualizado el: 23 de marzo de 2026, 16:31h

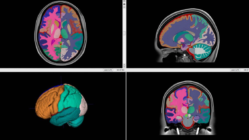
Un equipo de la Universitat Politècnica de València ha creado HoliAtlas, un atlas cerebral ultra detallado que mejora el diagnóstico de enfermedades neurológicas como Alzheimer y Parkinson.

Un equipo internacional, encabezado por el **Instituto ITACA** de la Universitat Politècnica de València (UPV), ha presentado uno de los atlas estructurales del cerebro humano más avanzados y detallados jamás creados. Este innovador proyecto, denominado **HoliAtlas**, promete ser una herramienta crucial para el estudio y diagnóstico precoz de enfermedades neurológicas y neurodegenerativas como el Alzheimer y el Parkinson.

El nuevo mapa cerebral se fundamenta en imágenes de resonancia magnética (MRI) multimodales de ultra-alta resolución, superando significativamente el nivel de detalle ofrecido por los atlas previos basados en esta tecnología. La investigación ha sido publicada en la revista Scientific Reports, parte del grupo editorial Nature, bajo la dirección del profesor **José V. Manjón**, coordinador del grupo MIALAB en ITACA-UPV, junto a instituciones internacionales como el CNRS y la Universidad de Burdeos.

Un avance significativo en diagnósticos neurológicos

Según Manjón, **HoliAtlas** proporciona una representación completa y multinivel del cerebro, abarcando desde estructuras globales hasta subestructuras específicas. Su alta resolución y la integración multimodal permiten identificar estructuras profundas con mayor precisión. Esto facilita el desarrollo de métodos automáticos de segmentación más exactos, mejora el análisis morfológico y permite detectar cambios anatómicos sutiles.

"Este atlas será fundamental para estudiar patologías como el Alzheimer o el Parkinson, contribuyendo a diagnósticos más precisos", afirma Manjón. La creación de atlas cerebrales cada vez más detallados es esencial para comprender la arquitectura del cerebro humano, integrar datos de diferentes estudios y avanzar hacia tratamientos personalizados.

Mejoras en resolución y detalle anatómico

Los atlas cerebrales son herramientas vitales que funcionan como mapas de referencia para localizar estructuras anatómicas con precisión y comparar datos entre distintos estudios o poblaciones. Además, son fundamentales tanto en la investigación neurocientífica como en aplicaciones clínicas, incluyendo la planificación quirúrgica y el análisis de enfermedades neurológicas.

Hasta ahora, los atlas basados en MRI contaban con una resolución aproximada de 1 mm³. Sin embargo, **HoliAtlas** alcanza una impresionante resolución de 0,125 mm³, lo que permite observar estructuras cerebrales mucho más pequeñas y complejas. El investigador **Sergio Morell**, miembro del grupo MIA-LAB de ITACA y coautor del estudio, destaca este avance significativo.

Construcción basada en datos robustos

Para desarrollar este atlas, los investigadores utilizaron imágenes cerebrales de 75 voluntarios sanos provenientes del prestigioso **Human Connectome Project**, uno de los mayores repositorios internacionales de datos sobre neuroimagen. A partir de estos datos, se aplicaron técnicas avanzadas de procesamiento y normalización para crear un modelo promedio del cerebro.

"En su nivel más detallado, el atlas incluye hasta 350 regiones anatómicas obtenidas mediante la integración de siete protocolos diferentes", concluye Morell. Esta combinación incluye herramientas de análisis neuroanatómico, algoritmos de inteligencia artificial y correcciones manuales realizadas por expertos.

La noticia en cifras

Cifra Descripción
75 Número de cerebros sanos utilizados para construir el atlas.
350 Número de regiones anatómicas incluidas en el atlas.
0,125 mm³ Resolución del nuevo atlas desarrollado.
1 mm³ Resolución aproximada de la mayoría de los atlas anteriores basados en MRI.
Valora esta noticia
0
(0 votos)
¿Te ha parecido interesante esta noticia?    Si (0)    No(0)

+
0 comentarios