iymagazine.es

Investigación cáncer

Nuevo enfoque terapéutico para el cáncer de endometrio identificado en investigación catalana
Ampliar

Nuevo enfoque terapéutico para el cáncer de endometrio identificado en investigación catalana

Por José Enrique González
x
jenriqueiymagazinees/8/8/19
viernes 24 de abril de 2026, 18:25h

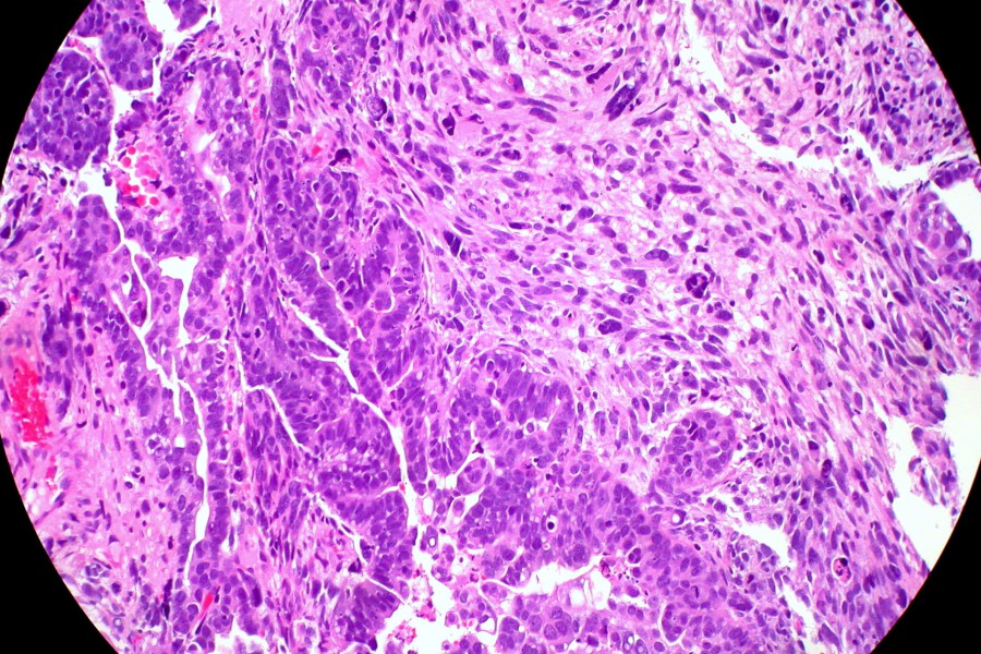
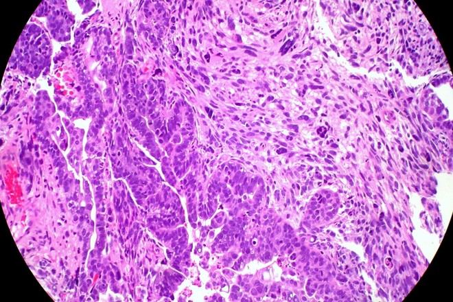
Investigadores de Lleida sugieren que inhibir la proteína CXCR6 podría frenar la metástasis en cáncer de endometrio, ofreciendo una nueva estrategia terapéutica para formas agresivas de la enfermedad.

La inhibición de la proteína receptora CXCR6, asociada a una molécula conocida como CXCL16, podría ser clave para frenar la metástasis en pacientes con cáncer de endometrio. Esta afirmación surge de un estudio realizado por investigadores del Institut de Recerca Biomèdica de Lleida (IRBLleida) y la Universitat de Lleida (UdL), cuyos hallazgos han sido publicados en la revista Cell Death & Disease.

La citocina CXCL16 es parte del conjunto de sustancias que las células cancerosas liberan al entorno, lo que facilita el crecimiento tumoral, aumenta su capacidad invasiva y mejora su resistencia a los tratamientos. La elucidación de este mecanismo molecular no solo aporta información valiosa sobre el comportamiento del cáncer, sino que también abre la puerta al desarrollo de terapias más efectivas.

Implicaciones del estudio en el tratamiento del cáncer

A pesar de que el cáncer de endometrio generalmente tiene un pronóstico favorable si se detecta en etapas tempranas, existe un grupo de pacientes que desarrolla formas más agresivas y difíciles de tratar. La investigadora y profesora de la UdL, Núria Eritja, subraya: «Comprender las bases genéticas y moleculares que explican esta heterogeneidad es esencial para desarrollar tratamientos más eficaces y personalizados».

El equipo investigador ha utilizado modelos murinos y muestras de tejido humano para identificar este mecanismo molecular en células afectadas por la pérdida del gen ARID1A. Los resultados indican que inhibir la proteína CXCR6 o su receptor puede interrumpir las interacciones patogénicas, dificultando así la migración celular y reduciendo la carga metastática. Según Cristina Megino Luque, primera autora del artículo y actual investigadora en el Tisch Cancer Institute de Nueva York, esto sugiere una posible nueva estrategia terapéutica para aquellos pacientes con formas más avanzadas o agresivas de la enfermedad.

Valora esta noticia
0
(0 votos)
¿Te ha parecido interesante esta noticia?    Si (0)    No(0)

+
0 comentarios