iymagazine.es

Terapia génica

Avances en terapia génica con CRISPR para distrofia muscular rara
Ampliar

Avances en terapia génica con CRISPR para distrofia muscular rara

Por José Enrique González
x
jenriqueiymagazinees/8/8/19
domingo 01 de febrero de 2026, 10:30h
Actualizado el: 01 de marzo de 2026, 09:39h

Investigadores del ISCIII han utilizado CRISPR para desarrollar un tratamiento prometedor contra la distrofia muscular congénita asociada al gen LMNA, mejorando la supervivencia en modelos animales.

Investigadores del Instituto de Salud Carlos III (ISCIII) han realizado avances significativos en el desarrollo de una terapia génica utilizando la innovadora herramienta de edición genética CRISPR. Este enfoque se dirige a la distrofia muscular congénita asociada al gen LMNA (conocida como L-CMD), una enfermedad rara y actualmente incurable. El estudio, liderado por un equipo del Instituto de Investigación de Enfermedades Raras (IIER), ha sido publicado en la revista Molecular Therapy Advances.

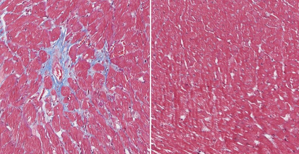
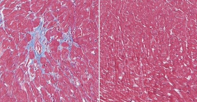
Los hallazgos obtenidos a partir de modelos celulares y animales indican un aumento notable en la supervivencia de los sujetos afectados por esta patología. Este trabajo representa la primera validación terapéutica de una estrategia de edición génica mediante CRISPR-Cas9 para tratar la L-CMD.

Características de la Distrofia Muscular Congénita

La distrofia muscular congénita asociada al gen LMNA es un trastorno genético raro que se manifiesta con debilidad muscular desde etapas tempranas, además de generar complicaciones cardiacas como miocardiopatía dilatada e insuficiencia respiratoria. Esta condición es considerada monogénica, ya que resulta de mutaciones en un único gen.

El método CRISPR, conocido por su capacidad para realizar ediciones precisas en el ADN, utiliza un sistema de ‘tijeras moleculares’ que permite cortar, eliminar o reemplazar secuencias específicas del genoma. Esto abre nuevas posibilidades para abordar enfermedades genéticas.

Estrategias y Resultados del Estudio

Bajo la dirección del doctor Ignacio Pérez de Castro, el equipo del ISCIII ha investigado el potencial de CRISPR para eliminar la mutación más comúnmente asociada con esta enfermedad: Lmna c.745C>T, p.R249W. Para ello, emplearon una guía específica denominada sg745T. En modelos celulares que portan esta alteración genética, se demostró que el complejo Cas9/sg745T presenta actividad específica hacia este alelo mutado dependiendo de la dosis utilizada.

Posteriormente, análisis realizados en un modelo animal confirmaron el potencial terapéutico de esta estrategia mediante la administración del tratamiento utilizando virus adenoasociados en ratones portadores de la mutación causante. La terapia aplicada mejoró significativamente las condiciones cardiacas asociadas a la enfermedad, lo que resultó en un incremento superior al 20% en la supervivencia media de los animales tratados. Este dato es especialmente relevante considerando que menos del 10% de los cardiomiocitos fueron editados por el sistema CRISPR en los sujetos estudiados.

Pasos Futuros y Perspectivas

El doctor Pérez de Castro destaca que este estudio representa un primer paso hacia el desarrollo de una terapia capaz no solo de aumentar la supervivencia sino también potencialmente curar la L-CMD. Además, refuerza las capacidades terapéuticas basadas en CRISPR para abordar enfermedades raras como las laminopatías.

A pesar de que hasta ahora se ha logrado una eficiencia limitada en las ediciones, los resultados son alentadores y superan las expectativas iniciales. El equipo ya está trabajando para superar estas limitaciones mediante el uso de editores evolucionados y optimizando los sistemas para entregar los complejos CRISPR. El objetivo es desarrollar una terapia personalizada que beneficie a tantos pacientes como sea posible con esta enfermedad rara y sirva como base para futuros tratamientos dirigidos a otras mutaciones en el gen LMNA o a pacientes con distrofias musculares causadas por mutaciones puntuales en otros genes.

Referencia del artículo: CRISPR-mediated targeting of the LMNA c.745C>T mutation enhances survival and cardiac function in congenital muscular dystrophy. Gómez-Domínguez, Déborah et al. Molecular Therapy Advances, Volume 34, Issue 1, 201653.

Vídeo divulgativo sobre la investigación y sus principales resultados disponible en Youtube ISCIII.

Valora esta noticia
0
(0 votos)
¿Te ha parecido interesante esta noticia?    Si (0)    No(0)

+
0 comentarios